Sizning sog'ligingiz bizning bahtimiz!
Butun Korea bo'ylab Tibbiy xizmatlar Stomatologiya kosmetologiya va boshqa ko'plab tibbiy xizmatlar endi sizning Ona tilingizda!
Bizning Xizmatlar
Butun Korea bo'ylab Tibbiy xizmatlar Stomatologiya kosmetologiya va boshqa ko'plab tibbiy xizmatlar endi sizning Ona tilingizda!
Bizning Xizmatlar
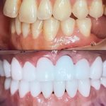
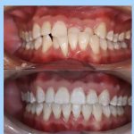
Unday bo'lsa sizga yuqori sifatli Implant xizmatini taklif qilamiz nima uchun ayna biz deysizmi? 10yillik tajribaga va butun Korea bo'ylab TOP5 talikga kiruvchi do'ktorlar sizga xizmat qiladi
Agar bir martada to'lashga qiynalsangiz unda foyizlarsiz bo'lib to'lang!
Tilni bilishingiz shart emas biz sizga bepul tarjimon taqdim qilamiz
Mamnun
Bemorlar
Yuqori tajriba baribir o'z foydasini ko'rsatmay qolmaydi shunday ekan siz xoxlagan natijaga erishish uchun sizga albatta yuqori tajribali doktorlar yordami kerak boladi shunay ekan biz shu yerdamiz!
natija
Umumiy mijozlar
Bir oylik mijozlar
Kunlik mijozlar
Sizga foydali bo'lishi uchun bizga eng ko'p berilgan savollarga qisqa javoblarni taqdim qilamiz balkim sizga ham foydali bo'lar!
YO'Q agar siz bo'lib tolashga kelishsangiz bu hech qanday foyizlaris bo'ladi!
Ha, Bizning barcha manzillarimizda tarjimon bor va u mutloq bepul siz bilan muaolaja tugagunga qadar yoningizda barcha narsani tarjima qilib turadi!
Bu savolga oldindan javob berish imkonsiz sababi barcha bemorning holati turlicha bo'lgani sababli oldindan biron narx aytish imkonsiz lekin siz o'zingizga yaqin bo'lgan bizning klinikamizga kelib bepul doktor ko'rigidan o'tishingiz mumkun va doktor sizni xolatinga qarab narx va boshqa kerakli malumotlarni aytadi!
Bir necha yil davomida tish muammolari bilan qiynaldim, lekin bu klinikadagi shifokorlar mening barcha muammolarimni hal qilishdi. Hozir tabassumimni hech narsadan tortinmasdan namoyish etaman. Ular chinakamiga mijozlariga g'amxo'rlik qilishadi. Rahmat!
Mezoterapiya muolajasi sochlarimni jonlantirdi va mustahkamroq qilib qo'ydi. Klinikadagi xizmat yuqori darajada bo'lib, shifokorlar juda e’tiborli va yordam berishga tayyor edilar. Natijalar juda yaxshi, bu yerni boshqalarga ham tavsiya qilaman.
Men doim stomatologiya muolajalaridan biroz qo'rqardim, lekin bu klinikada hamma narsa o'zgardi! Xodimlar juda samimiy va tajribali. Davolanishning har bir bosqichida o'zimni juda qulay his qildim. Endi tishlarim butunlay sog'lom va go'zal! Bu yerdan xizmat olganimdan juda mamnunman.
Men tish implantatsiyasi xizmatidan foydalandim va natijalardan hayratdaman. Davolanish jarayoni muammosiz o'tdi va shifokorlar har bir bosqichda menga to'liq tushuntirishlar berib turishdi. Endi tishlarim nafaqat tabiiy ko'rinishga ega, balki o'zimni ancha ishonchli his qilaman. Tavsiya qilaman!
Sochlarimni qaytarish haqida uzoq o'yladim va bu klinika tanlovimda xato qilmadim. Jarayon juda professional tarzda o'tdi va natijalar juda tabiiy. Bir necha oy o'tgach, yangi sochlarim o'sib chiqayotganini ko'rib hayratlandim! Klinikaga katta rahmat.
Yuz tozalash muolajasidan keyin yuz terim ajoyib ko'rinishga ega bo'ldi! Porloq va sof terim uchun juda minnatdorman. Klinikadagi xizmat juda yuqori sifatda amalga oshiriladi, ularning barchasi professionallar!
Tish implantatsiyasiga qaror qilish biroz qiyin edi, lekin bu klinika menga to'liq ishonch bag'ishladi. Shifokorlar juda mehribon va tajribali, implantlar juda qulay va tabiiy ko'rinadi. Men juda mamnunman va do'stlarimga ham tavsiya qildim.
Soch to'kilishidan juda xijolat bo'lardim, lekin bu klinikadagi soch ekish muolajasi menga yangi imkoniyatlar berdi. Jarayon professional, tez va og'riqsiz bo'ldi. Endi yangi sochlarim o'sib chiqqan va o'zimni juda baxtli his qilyapman.
Tish muolajalarini bu klinikada olganimdan keyin endi boshqa joy qidirmayman. Shifokorlar ishlarini juda aniq va professional tarzda bajarishdi. Davolanish jarayoni doimiy e’tibor va ehtiyotkorlik bilan amalga oshirildi. Juda minnatdorman!
Tish implantlari haqida juda ko'p yaxshi eshitganman, lekin bu klinikadagi natijalar barcha kutilganlardan oshib ketdi! Davolanish jarayoni juda yumshoq o'tdi va natijalardan juda mamnunman. Barcha xodimlar juda malakali va g'amxo'r edi. Rahmat!
Soch ekish jarayoni biroz vaqt talab qiladi, lekin bu klinika menga har bir bosqichda mukammal xizmat ko'rsatdi. Yangi sochlarim juda tabiiy ko'rinadi va men o'zimni yanada ishonchli his qilyapman. Mamnunman va bu xizmatni hammaga tavsiya qilaman.
Mezoterapiya muolajasi orqali sochlarimni tiklashga qaror qildim va natijalar juda ajoyib. Sochlarim kuchliroq va sog'lomroq ko'rinishga ega bo'ldi. Xodimlar juda malakali va ular menga kerakli maslahatlarni berishdi. Hammasi juda yaxshi o'tdi!
Yuzimni tozalash muolajasi juda samarali bo'ldi. Terim toza, yorqin va silliq ko'rinishga ega bo'ldi. Klinikadagi xodimlar juda malakali va e’tiborli. Davolanish jarayonidan juda mamnunman!





























Ko'plab o'zingizni qiziqtirgan savollarga javoblarni topishingiz mumkin